reklama
reklama
reklama
reklama
Více
reklama

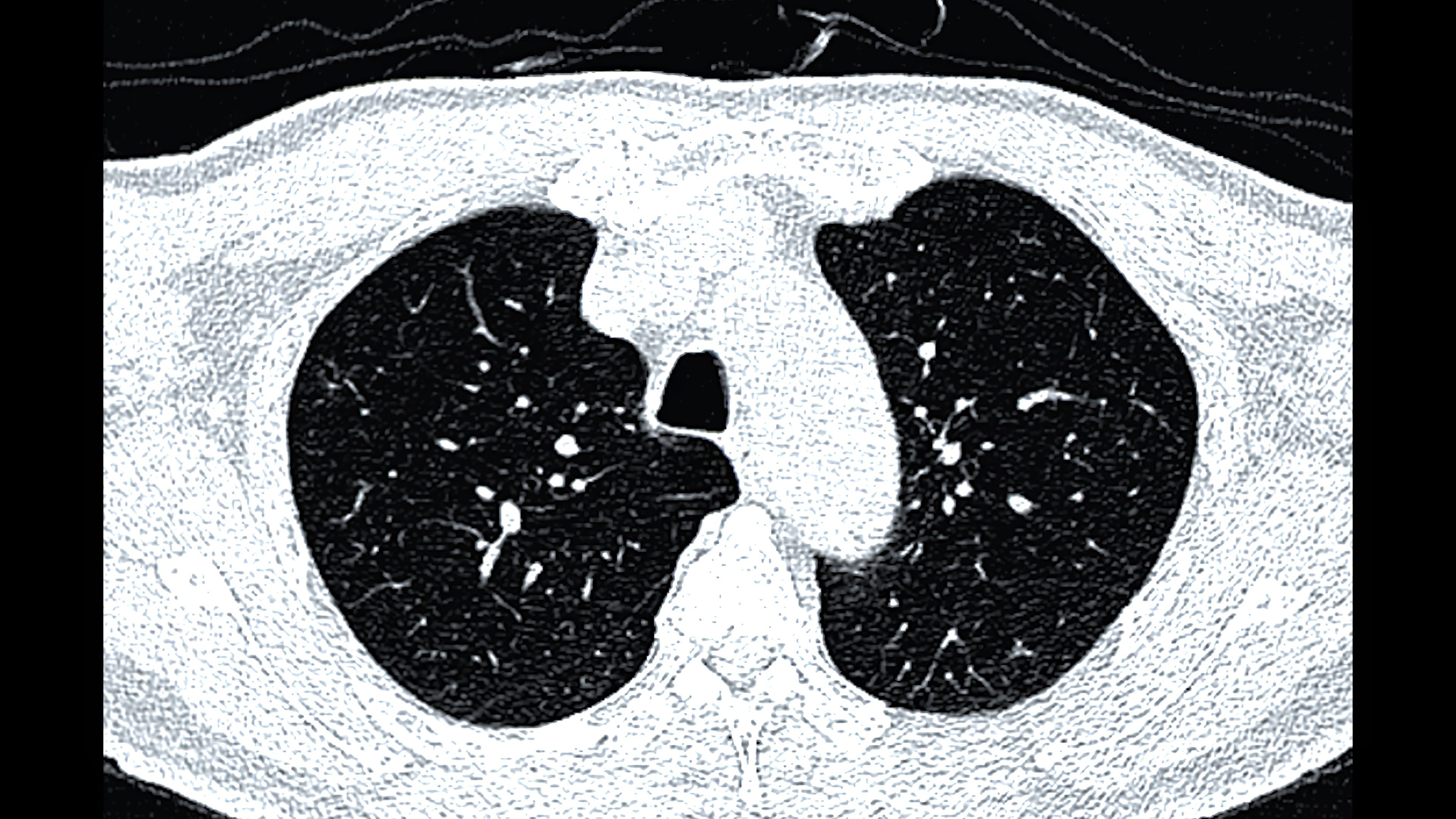
Screeningový program časného záchytu karcinomu plic měl původně jediný cíl – zachytit nádory včas, kdy jsou ještě dobře léčitelné. Praxe posledních let ale ukazuje, že jeho přínos je mnohem širší. Nízkodávkové CT totiž neodhaluje jen rakovinu, ale i celou řadu dalších závažných onemocnění, o nichž pacienti často nemají tušení. Některá z nich přitom mohou být stejně nebezpečná – a právě na jedno z nich se nyní zaměřuje i pilotní projekt odborníků: plicní fibrózu.
Screeningový program časného záchytu karcinomu plic měl původně jediný cíl – zachytit nádory včas, kdy jsou ještě dobře léčitelné. Praxe posledních let ale ukazuje, že jeho přínos je mnohem širší. Nízkodávkové CT totiž neodhaluje jen rakovinu, ale i celou řadu dalších závažných onemocnění, o nichž pacienti často nemají tušení. Některá z nich přitom mohou být stejně nebezpečná – a právě na jedno z nich se nyní zaměřuje i pilotní projekt odborníků: plicní fibrózu.
Víte, kde se vaše děti inspirují při hledání videí? A dokážou rozpoznat, že doporučení jejich oblíbeného influencera je ve skutečnosti skrytá reklama – zvlášť pokud má na sobě bílý plášť a mluví o zdraví? Podle dat agentury NMS dnes influencery aktivně sledují tři čtvrtiny příslušníků generace Z. Pouze 23 procent lidí ve věku 15–26 let nesleduje žádného influencera. Zároveň ale nejde jen o fenomén mladých: polovina sledujících influencerům důvěřuje a třetina je ochotna si za produkty, které doporučí, dokonce připlatit. Právě tato kombinace důvěry, emocí a každodenní blízkosti dává influencer marketingu mimořádnou sílu – a zároveň z něj činí oblast s vysokým rizikem zneužití.
Víte, kde se vaše děti inspirují při hledání videí? A dokážou rozpoznat, že doporučení jejich oblíbeného influencera je ve skutečnosti skrytá reklama – zvlášť pokud má na sobě bílý plášť a mluví o zdraví? Podle dat agentury NMS dnes influencery aktivně sledují tři čtvrtiny příslušníků generace Z. Pouze 23 procent lidí ve věku 15–26 let nesleduje žádného influencera. Zároveň ale nejde jen o fenomén mladých: polovina sledujících influencerům důvěřuje a třetina je ochotna si za produkty, které doporučí, dokonce připlatit. Právě tato kombinace důvěry, emocí a každodenní blízkosti dává influencer marketingu mimořádnou sílu – a zároveň z něj činí oblast s vysokým rizikem zneužití.
Prof. MUDr. Ivan Rychlík, CSc., FASN, FERA, FISN, je předním českým nefrologem a internistou. V rozhovoru mluví o své cestě k medicíně, o nemocech ledvin, ale i o tom, proč se v moderním zdravotnictví vytrácí osobní kontakt. Vysvětluje, že ledviny často nebolí, a jejich onemocnění proto dlouho uniká pozornosti, varuje před nadužíváním běžných analgetik a připomíná, že pacient potřebuje víc než jen diagnózu – potřebuje lékaře, který vidí celý obraz jeho zdravotních problémů komplexně.
Prof. MUDr. Ivan Rychlík, CSc., FASN, FERA, FISN, je předním českým nefrologem a internistou. V rozhovoru mluví o své cestě k medicíně, o nemocech ledvin, ale i o tom, proč se v moderním zdravotnictví vytrácí osobní kontakt. Vysvětluje, že ledviny často nebolí, a jejich onemocnění proto dlouho uniká pozornosti, varuje před nadužíváním běžných analgetik a připomíná, že pacient potřebuje víc než jen diagnózu – potřebuje lékaře, který vidí celý obraz jeho zdravotních problémů komplexně.
Jednou z priorit nového ministra zdravotnictví Adama Vojtěcha má být navyšování kompetencí nelékařských profesí. Co to ale konkrétně znamená? Přejde na ně i větší odpovědnost? A není to jen snaha vyřešit nedostatek lékařů a zároveň ušetřit peníze? O tom byla velmi živá debata v Lékařském domě, kterou pořádala Česká lékařská společnost J. E. Purkyně.
Jednou z priorit nového ministra zdravotnictví Adama Vojtěcha má být navyšování kompetencí nelékařských profesí. Co to ale konkrétně znamená? Přejde na ně i větší odpovědnost? A není to jen snaha vyřešit nedostatek lékařů a zároveň ušetřit peníze? O tom byla velmi živá debata v Lékařském domě, kterou pořádala Česká lékařská společnost J. E. Purkyně.
Virové hepatitidy zůstávají i v 21. století významnou globální zdravotní výzvou, která vyžaduje koordinovanou odbornou pozornost, inovativní přístupy a sdílení aktuálních poznatků napříč medicínskými obory. Tento fakt potvrzuje ještě současná rostoucí incidence žloutenky typu A v České republice. Jak si tedy stojíme? Jaká rizika přinášejí virové hepatitidy? Jak se jim lze bránit? A jaké nejmodernější možnosti léčby mají lékaři k dispozici? Na tyto a další otázky odpovídali řečníci na pravidelném cyklu přednášek Rady pro zdraví, které pořádá České lékařská komora. Na téma virové hepatitidy proběhla v úterý 2. prosince 2025.
Virové hepatitidy zůstávají i v 21. století významnou globální zdravotní výzvou, která vyžaduje koordinovanou odbornou pozornost, inovativní přístupy a sdílení aktuálních poznatků napříč medicínskými obory. Tento fakt potvrzuje ještě současná rostoucí incidence žloutenky typu A v České republice. Jak si tedy stojíme? Jaká rizika přinášejí virové hepatitidy? Jak se jim lze bránit? A jaké nejmodernější možnosti léčby mají lékaři k dispozici? Na tyto a další otázky odpovídali řečníci na pravidelném cyklu přednášek Rady pro zdraví, které pořádá České lékařská komora. Na téma virové hepatitidy proběhla v úterý 2. prosince 2025.
Život MUDr. Mgr. Jany Šeblové, Ph.D., FESEM, by vydal na knihu. Možná kdyby nebylo její odhodlání tak velké, tak bychom si ani nepovídali o urgentní medicíně a o vzdělání. V šestém ročníku Lékařské fakulty hygienické ji totiž vyloučili na základě udání spolužáka. Stihla ale pak dostudovat střední zdravotnickou školu, uklízela, vychovávala děti a v roce 1989 se od vyvařování plen a zavařovaček vrátila zpět na lékařskou fakultu.
Život MUDr. Mgr. Jany Šeblové, Ph.D., FESEM, by vydal na knihu. Možná kdyby nebylo její odhodlání tak velké, tak bychom si ani nepovídali o urgentní medicíně a o vzdělání. V šestém ročníku Lékařské fakulty hygienické ji totiž vyloučili na základě udání spolužáka. Stihla ale pak dostudovat střední zdravotnickou školu, uklízela, vychovávala děti a v roce 1989 se od vyvařování plen a zavařovaček vrátila zpět na lékařskou fakultu.
Dětská paliativní péče vyžaduje empatii. Bez ní to dělat nejde. A i když si možná držíte od pacientů a rodin jistý odstup, stejně vás jejich osudy a sdílení jejich života doženou. Proto si také lékař z Kliniky dětské onkologie FN Brno a LF MU a jeden ze zakladatelů dětské paliativní péče nemyslí, že by do oboru měli nastupovat mladí lékaři hned po studiu, i když už vysoké školy obor paliativní péče nabízí.
Dětská paliativní péče vyžaduje empatii. Bez ní to dělat nejde. A i když si možná držíte od pacientů a rodin jistý odstup, stejně vás jejich osudy a sdílení jejich života doženou. Proto si také lékař z Kliniky dětské onkologie FN Brno a LF MU a jeden ze zakladatelů dětské paliativní péče nemyslí, že by do oboru měli nastupovat mladí lékaři hned po studiu, i když už vysoké školy obor paliativní péče nabízí.
Obezita rozhodně není jen estetický problém, je to nemoc, která má závažné důsledky pro zdraví, závažné důsledky pro ekonomiku naší země a důsledky společenské. Každé třetí dítě je s nadváhou nebo obezitou a stejně tak téměř 60 procent dospělých. Strašidelná čísla. Důvodů, proč se obezitou zabývat, je mnoho. A právě důvody, příčinami, dopady, statistikami a hlavně možnými řešeními se zabývala konference na téma „Epidemie obezity“, kterou pořádala Česká lékařská komora v Domě lékařů v úterý 4. března. Součástí článku je také video z konference.
Obezita rozhodně není jen estetický problém, je to nemoc, která má závažné důsledky pro zdraví, závažné důsledky pro ekonomiku naší země a důsledky společenské. Každé třetí dítě je s nadváhou nebo obezitou a stejně tak téměř 60 procent dospělých. Strašidelná čísla. Důvodů, proč se obezitou zabývat, je mnoho. A právě důvody, příčinami, dopady, statistikami a hlavně možnými řešeními se zabývala konference na téma „Epidemie obezity“, kterou pořádala Česká lékařská komora v Domě lékařů v úterý 4. března. Součástí článku je také video z konference.
Rozhovor s Věrou Zukalovou začal popisem toho, co vlastně obnáší role onkologické ambasadorky ve Fakultní nemocnici Olomouc. Denně si vyslechne mnoho příběhů. Pomáhá pacientům zvládnout nejen nemoc, ale i vše, co s ní souvisí, protože najednou člověk může cítit nejistotu, zoufalství, neví, co by měl zařídit dřív. Sama si rakovinou prošla, a ne každý příběh končí šťastně. I proto jsme se postupně dostali k tomu, jak se všemi emocemi pracovat. Jak pracovat se smrtí a s odcházením z tohoto světa? Co pomohlo během nemoci jí? A co jí pomáhá zpracovat tolik příběhů, aby sama mohla dál fungovat?
Rozhovor s Věrou Zukalovou začal popisem toho, co vlastně obnáší role onkologické ambasadorky ve Fakultní nemocnici Olomouc. Denně si vyslechne mnoho příběhů. Pomáhá pacientům zvládnout nejen nemoc, ale i vše, co s ní souvisí, protože najednou člověk může cítit nejistotu, zoufalství, neví, co by měl zařídit dřív. Sama si rakovinou prošla, a ne každý příběh končí šťastně. I proto jsme se postupně dostali k tomu, jak se všemi emocemi pracovat. Jak pracovat se smrtí a s odcházením z tohoto světa? Co pomohlo během nemoci jí? A co jí pomáhá zpracovat tolik příběhů, aby sama mohla dál fungovat?
Až 12 procent českých obyvatel ve věku 50 až 59 let je v polymorbidním stavu. Mají tedy tři a více chronických onemocnění. Ve věkové skupině 70+ už je takových lidí více než polovina. Tito lidé nejenže nejsou zdraví, ale také často pobírají příspěvek na péči nebo invaliditu. O to více ale potřebujeme finančně aktivních lidí, aby utáhli narůstající počet nemocných. Těch ale také ubývá a do budoucna jich bude čím dál méně. Kruté a nekompromisní statistiky představil na letošním brněnském sjezdu České lékařské komory ředitel Ústavu zdravotnických informací a statistiky ČR prof. RNDr. Ladislav Dušek, Ph.D.
Až 12 procent českých obyvatel ve věku 50 až 59 let je v polymorbidním stavu. Mají tedy tři a více chronických onemocnění. Ve věkové skupině 70+ už je takových lidí více než polovina. Tito lidé nejenže nejsou zdraví, ale také často pobírají příspěvek na péči nebo invaliditu. O to více ale potřebujeme finančně aktivních lidí, aby utáhli narůstající počet nemocných. Těch ale také ubývá a do budoucna jich bude čím dál méně. Kruté a nekompromisní statistiky představil na letošním brněnském sjezdu České lékařské komory ředitel Ústavu zdravotnických informací a statistiky ČR prof. RNDr. Ladislav Dušek, Ph.D.
Vedoucí lékař oddělení intervenční kardiologie v Institutu klinické a experimentální medicíny IKEM MUDr. Michael Želízko, CSc., patří mezi významné osobnosti kardiologie, protože tento obor neustále posouvá dál a inovuje ho. Patřil mezi první lékaře, kteří se podíleli na zavedení primární koronární plastiky u akutního infarktu myokardu, díky čemuž jsou dnes schopni zachraňovat i dříve beznadějné případy. V roce 1993 jako první zavedl metodu implantace koronárních stentů a v roce 2008 provedl první perkutánní implantaci aortální chlopně. Kam se kardiologie za poslední desetiletí posunula? Proč se zvyšuje průměrný věk lidí s infarktem? A jaké jsou hlavní rizikové faktory infarktu? Které výkony dnes může intervenční kardiologie nabídnout?
Vedoucí lékař oddělení intervenční kardiologie v Institutu klinické a experimentální medicíny IKEM MUDr. Michael Želízko, CSc., patří mezi významné osobnosti kardiologie, protože tento obor neustále posouvá dál a inovuje ho. Patřil mezi první lékaře, kteří se podíleli na zavedení primární koronární plastiky u akutního infarktu myokardu, díky čemuž jsou dnes schopni zachraňovat i dříve beznadějné případy. V roce 1993 jako první zavedl metodu implantace koronárních stentů a v roce 2008 provedl první perkutánní implantaci aortální chlopně. Kam se kardiologie za poslední desetiletí posunula? Proč se zvyšuje průměrný věk lidí s infarktem? A jaké jsou hlavní rizikové faktory infarktu? Které výkony dnes může intervenční kardiologie nabídnout?
reklama
reklama
reklama
reklama
Více
reklama